Poodle Pulse
Hip Dysplasia in Standard Poodles: Causes, Prevention, and Management
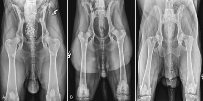
Three hip-extended radiographs with degrees of dysplasia. A, Adult canine hips with no evidence of osteoarthritis. B, 7-month male Irish Setter showing subluxation on the left hip joint, poor femoral head coverage on the right hip, and femoral head metaphyseal sclerosis bilaterally with no signs of osteoarthritis. C, Adult canine hips with bilateral subluxation and severe osteoarthritis with bilateral femoral periarticular osteophyte formation, osteophytes on cranial and caudal acetabular margin, and advanced joint remodeling.
- Understanding Hip Dysplasia:
Factors including health, weight, environment, and genetics factor into the development of hip dysplasia. Hip dysplasia results from the femoral head (the ball) not fitting snugly into the acetabulum (the hip socket), leading to joint laxity, inflammation, pain, and eventually arthritis. Research by the Orthopedic Foundation for Animals (OFA) and studies published in peer-reviewed veterinary journals have consistently shown that hip dysplasia has a strong genetic component. Heritability estimates vary across breeds, but in Standard Poodles, selective breeding practices focusing on hip health have shown measurable improvements over generations. While it is commonly associated with larger breeds, Standard Poodles are also susceptible. This is why hip certification is required for CHIC certification in Standard Poodles. According to the Orthopedic Foundation for Animals (OFA), approximately 12% of Standard Poodles evaluated have hip dysplasia. (Poodle Forum)
- Causes of Hip Dysplasia
- Genetics: Hip dysplasia is strongly influenced by genetics, and breeding two dogs with poor hip scores can significantly raise the chances of the condition being passed on to their offspring.
- Nutrition: Overfeeding and excessive calcium intake during a puppy’s rapid growth phase (4-8 months) can negatively affect bone and joint development.
- Environment: Slippery floors, excessive jumping, or forced exercise during the puppy’s growth period can exacerbate hip joint laxity.
- Prevention Strategies used by Breeders
- Health Testing: Breeders should screen breeding dogs for hip dysplasia through OFA and/or PennHIP evaluations.
- OFA (Orthopedic Foundation for Animals) and PennHIP are two prominent methods used to evaluate and assess the hip health of dogs, particularly for conditions like hip dysplasia, a hereditary condition that affects the hip joint’s development and function.
- Nutrition Recommendations
- Feed a balanced, age-appropriate large-breed puppy food.
- Avoid overfeeding and ensure puppies grow at a steady, moderate rate.
- Prevent excess calcium and phosphorus intake, as imbalances can disrupt bone growth.
- Environmental Considerations
- Provide non-slip flooring in living areas.
- Avoid repetitive high-impact activities such as jumping off furniture or going down stairs.
- Encourage moderate, low-impact exercise like walking or swimming.
Recommendations for Puppy Owners
Growth Management
Maintaining an optimal weight is critical in reducing stress on developing joints and preventing early-onset hip dysplasia. Puppies should grow at a steady, controlled rate rather than experiencing rapid growth spurts. Feed a high-quality, large-breed puppy food formulated to support slow, even growth with controlled calcium and phosphorus levels. Avoid free-feeding and measure meals carefully based on the puppy’s age, size, and activity level. Regular weight checks and body condition scoring can help ensure the puppy remains lean without being underweight. Avoid over-supplementing with additional calcium unless explicitly directed by a veterinarian, as excess calcium can interfere with proper bone formation. Additionally, monitor treats and avoid high-calorie snacks that may contribute to unnecessary weight gain.
Key Growth Phases in Standard Poodles:
- Birth to 3 Months:
- Steady growth in weight and size.
- Nutritional balance is critical for proper bone and joint development.
- 4 to 8 Months (Rapid Growth Phase):
- The most significant period of skeletal and muscular growth.
- Puppies may appear lanky and unbalanced as their legs and body grow faster than their muscle mass fills in.
- Growth plates remain open and vulnerable to injury.
- 8 to 12 Months:
- Growth begins to slow, but skeletal development continues.
- Puppies start filling out with muscle and body mass.
- 12 to 18 Months:
- Growth plates start closing.
- The dog continues to gain muscle mass and refine its adult structure.
- 18 to 24 Months:
- Final physical maturity is typically reached, though some Standard Poodles may continue to fill out until they are about 2.5 years old.
Puppy Culture Exercise Chart:
Follow the Puppy Culture Exercise Chart as a guideline for age-appropriate activities and exercise limitations. This resource provides a clear framework for balancing activity and rest during critical growth stages, ensuring that puppies get adequate physical stimulation without overexerting their developing joints. Puppy owners should refer to the chart regularly and adjust activities based on their puppy’s age and physical development.
- Guidelines: Follow guidelines such as those provided by the Puppy Culture exercise chart, which outline age-appropriate activities and limitations for growing puppies. For example:
- 8–16 weeks: Short walks on soft surfaces, gentle play, and brief training sessions.
- 4–6 months: Continue low-impact activities, introduce controlled stair climbing, and avoid repetitive jumping.
- 6–12 months: Gradually increase exercise duration while still avoiding high-impact activities like forced running or sharp turns. Avoid forced running, prolonged stair climbing, or activities that involve abrupt stops, sharp turns, or repetitive jumping, especially during the puppy’s rapid growth phase. Provide a variety of activities to encourage balanced muscle development without straining joints. Gradually increase the intensity and duration of exercise as the puppy matures, and always monitor for signs of fatigue or discomfort. Refer to resources like the Puppy Culture exercise chart for specific age-appropriate recommendations.
- Guidelines: Follow guidelines such as those provided by the Puppy Culture exercise chart, which outline age-appropriate activities and limitations for growing puppies. For example:
Puppy Culture is a research-backed, comprehensive guide. You can Google images to find the chart if you do not have access through your breeder.
Regular Veterinary Checkups
- Early detection through physical exams and X-rays can help in managing the condition.
- Joint Supplements: Discuss supplements like glucosamine, chondroitin, and omega-3 fatty acids to support joint health and reduce inflammation with your vet. Start supplements early, especially in breeds prone to hip dysplasia, but always consult with a veterinarian for appropriate dosages and product recommendations. Additionally, incorporating natural sources of these nutrients, such as fish oil, can be beneficial.
Treatment Options for Hip Dysplasia
- Conservative Management: Weight control, physical therapy, and anti-inflammatory medications.
- Surgical Options: In severe cases, procedures like Total Hip Replacement (THR) or Femoral Head Ostectomy (FHO) may be recommended.
- Pain Management: Long-term use of NSAIDs and other pain control medications.
Summary
While hip dysplasia cannot always be entirely prevented, breeders and puppy owners can significantly reduce the risk through careful breeding, proper nutrition, and a supportive environment. Early intervention and ongoing management are essential to maintaining a good quality of life for affected dogs.
A Deeper Dive into Hip Evaluations and Methods
OFA Hip Ratings
- The OFA is a well-established program used to evaluate hip dysplasia in dogs. It involves a veterinarian taking radiographs (X-rays) of the dog’s hips, which are then reviewed by a panel of veterinary radiologists. The radiographs are evaluated for signs of hip dysplasia, such as malformation or laxity in the hip joint.
- OFA Rating Categories:
- Excellent: The hips are well-formed with normal conformation.
- Good: Slightly less than perfect, but still within normal range.
- Fair: Mild signs of hip dysplasia, but still considered within acceptable limits for breeding.
- Borderline: Uncertain hip joint status, typically requiring further evaluation.
- Dysplastic (Poor, Mild, Moderate, or Severe): Signs of hip dysplasia are clearly present.
- The OFA certification typically involves dogs being at least two years of age, and it is widely recognized in breeding programs as an important health test.
- OFA Rating Categories:
- PennHIP
- PennHIP (Veterinary Hip Improvement Program) is a newer method developed to evaluate hip joint laxity (the looseness or instability of the hip joint) in dogs. It is based on the premise that hip dysplasia is caused by joint laxity, which can predispose dogs to arthritis and other hip issues.
- How it Works: PennHIP involves taking three X-ray views of the dog’s hips at different angles. The most important of these is the distraction index (DI), which measures the amount of displacement (laxity) between the femoral head and the acetabulum (the hip socket).
- Distraction Index (DI): This value ranges from 0 to 1, with lower numbers indicating less laxity and thus better hip stability. A lower DI suggests a lower risk of developing hip dysplasia and related problems. Recommendations for standard poodles:
- DI below the breed average (approx. 0.46–0.49): Ideal for breeding.
- DI above the breed average (0.5+): Indicates a higher risk for developing hip dysplasia and is generally not recommended for breeding.
- Unlike the OFA, which assesses the conformation of the hip joint, PennHIP focuses on hip laxity as an indicator of potential dysplasia. PennHIP can be done as early as 16 weeks of age, making it an early predictor of future hip health.
- Key Differences
- OFA: Evaluates hip conformation and overall joint structure.
- Age: Requires dogs to be at least 2 years old for certification.
- Process: OFA evaluations are conducted by three board-certified veterinary radiologists who independently review the hip radiographs. They assess the hip conformation, looking at factors such as joint congruity, the depth of the acetabulum, the fit of the femoral head, and any signs of degenerative joint disease.
- Subjectivity: While these radiologists are highly trained, their assessment relies on visual interpretation and expert judgment. Differences in interpretation, even subtle ones, can occur.
- Strengths: The OFA method has decades of data behind it, and the grading system (Excellent, Good, Fair, etc.) is well-understood within the breeding community.
- Limitations: The subjective nature introduces variability, and positioning errors during the radiograph can influence results. Additionally, early stages of joint laxity may not always be detected.
- PennHIP: Measures hip joint laxity, which is a predictor of dysplasia risk.
- Age: Can be performed as early as 16 weeks of age.
- Process: PennHIP uses a quantitative measurement called the Distraction Index (DI) to assess hip laxity. It measures how far the femoral head can move out of the acetabulum under pressure.
- Objectivity: The DI is a numerical value, making it less open to interpretation compared to OFA’s graded system. A lower DI indicates tighter hips and a lower risk of developing hip dysplasia.
- Strengths: The scientific measurement reduces human interpretation errors. PennHIP can also predict hip dysplasia risk as early as 16 weeks of age, providing breeders with earlier insights.
- Limitations: Not every veterinarian is certified to perform PennHIP evaluations, and the process is typically more expensive than OFA.
- OFA: Evaluates hip conformation and overall joint structure.
- Why Both Have Value
- The OFA is a well-established program used to evaluate hip dysplasia in dogs. It involves a veterinarian taking radiographs (X-rays) of the dog’s hips, which are then reviewed by a panel of veterinary radiologists. The radiographs are evaluated for signs of hip dysplasia, such as malformation or laxity in the hip joint.
While PennHIP offers a more objective measurement, OFA still holds significant value because:
- It provides a broader historical database for comparison.
- It evaluates for signs of arthritis and other degenerative changes, which PennHIP does not focus on as directly.
- The OFA grading scale is widely recognized and trusted in breeding programs.
- Recommendation – Use Both:
- PennHIP excels in objective, early detection of joint laxity.
- OFA excels in identifying long-term degenerative changes and has an extensive database for historical comparison.
- Using both systems together can provide a more comprehensive view of hip health, combining the strengths of scientific precision (PennHIP) and long-term structural evaluation (OFA). Many breeders choose to utilize both methods to make the most informed breeding decisions possible.
- Selective Breeding: Only breed dogs with acceptable hip scores.
- Proper Weight Management: Maintain a lean body condition in breeding dogs and their offspring.
- Controlled Exercise: Avoid excessive high-impact activities during a puppy’s growth phase.
Breeder Corner: Other Factors to Consider
The hip dysplasia ratings of a dog, whether through the OFA (Orthopedic Foundation for Animals) or PennHIP, are influenced by a variety of factors. These factors can include genetics, environmental conditions, hormonal influences, early exercise, nutrition, and even radiograph positioning. Understanding these factors is crucial for breeders and owners who wish to ensure optimal hip health for their dogs.
- Genetics
Genetics plays the most significant role in determining a dog’s hip conformation and the likelihood of developing hip dysplasia. Hip dysplasia is often hereditary, though it can also be influenced by nutritional and environmental factors. A dog may inherit a predisposition to hip dysplasia if both parents have poor hip conformation or are carriers of the (yet unidentified) genes associated with the condition. However, selective breeding practices can help minimize the risk by choosing mates with strong hip health and favorable ratings.
- Gene pool diversity: While selective breeding doesn’t mean limiting the gene pool, breeders should strive to match dogs wisely based on traits like hip conformation, so offspring inherit the best traits possible.
- Hormonal Influences
Hormones can have a significant impact on the development of a dog’s hip joints.
- Early spaying/neutering: There is evidence that spaying or neutering a dog at an early age, particularly before puberty, can lead to slower closure of the growth plates, which might result in joint laxity or an increased risk of developing hip dysplasia. This can potentially affect a dog’s hip joint formation, as the femoral head may not fully fit into the acetabulum.
- Growth hormone levels: Excessive growth hormone, often seen in large breeds or dogs fed high-protein diets, can lead to rapid bone growth, which may cause the hip joint to develop abnormally. On the flip side, delayed bone development can occur if hormonal levels are inadequate.
- Sex hormones, particularly estrogen and testosterone, can influence the development of a dog’s hip joints and affect the accuracy of hip evaluations. The impact of these hormones is particularly significant in females, as their levels fluctuate during their estrous cycle. Here’s a detailed look at how sex hormones can affect joint development, radiographs and subsequent evaluations:
- Influence of Sex Hormones on Joint Development
- Estrogen and progesterone are the primary hormones influencing joint development and the closure of growth plates in puppies, especially in females. Estrogen plays a role in the maturation of the skeletal system, and in females, its levels rise and fall throughout the estrous cycle. These hormonal fluctuations can affect the laxity (looseness) of the joints and the stability of the hip joint during certain stages of the cycle.
- Growth plate closure: In young dogs, the growth plates of the bones are still open and developing. Estrus and pregnancy, both of which are associated with hormonal shifts, can impact the closure of these growth plates. In males, testosterone influences the closure of growth plates in a different manner but can also affect the overall joint stability and development.
- Effect of Estrus on Hip X-rays
- Radiograph accuracy: The hormonal changes during estrus, particularly the rise in estrogen, can lead to joint laxity. This means the hip joint may not be as tightly seated in the acetabulum (the hip socket), making the joints appear slightly more “loose” or subluxated (partially dislocated) on radiographs. The relaxed ligaments and joint capsule due to hormonal influences could lead to an inaccurate evaluation of the joint’s stability.
- Timing of X-rays: OFA and PennHip recommend that radiographs for hip evaluations be taken at least one month before or one month after a female dog’s estrus cycle. This timing helps avoid the period when the dog’s hip joints may appear more unstable or lax due to the hormonal effects of estrus. By taking the X-rays outside of the peak hormonal fluctuations, the radiographs are more likely to reflect the dog’s true hip conformation without the interference of temporary joint looseness.
- Impact of Hormones in Male Dogs
- Testosterone’s effect: Although testosterone doesn’t fluctuate as dramatically in male dogs, it still plays a role in joint health and development. However, for male dogs, the hormonal influence on hip evaluations is generally less significant than in females. Still, the growth plates and joint structures can be affected by other factors, including overall health, nutrition, and early life exercise.
The influence of sex hormones, especially in female dogs, can temporarily alter the apparent stability of the hip joint, potentially affecting the results of hip radiographs and evaluations. OFA’s recommendation to conduct X-rays one month before or after estrus aims to mitigate these hormonal effects and ensure that the hip joints are evaluated under stable, non-influenced conditions.
- Early Exercise and Activity Levels
While exercise is crucial for a dog’s overall health, the intensity, type, and timing of exercise during the early stages of life can influence hip joint development.
- Excessive or improper exercise: For puppies, especially large breeds, excessive jumping, running, or activities that stress the joints can accelerate the development of hip dysplasia. Heavy or high-impact exercise before the joints are fully mature (around 18 months) can damage the growing cartilage and ligaments, leading to joint instability and abnormal hip development.
- Moderate and controlled exercise: On the other hand, moderate and controlled exercise can help puppies develop strong muscles around their hips, promoting joint stability. This can aid in reducing the risk of hip dysplasia or slow its progression in dogs that may be genetically predisposed.
- Radiograph Positioning
Proper positioning of the dog during the radiograph (X-ray) is essential for accurate assessment of hip conformation. Poor positioning can result in inaccurate readings and potentially misleading hip ratings.
- OFA X-rays: For OFA evaluations, dogs should be positioned in a ventrodorsal (VD) position, meaning the dog is lying on its back with its legs extended and pulled straight. If the dog is not positioned correctly, the hips may appear dislocated or subluxated (partially dislocated), leading to an inaccurate assessment. It’s also crucial that the pelvis is straight, as any twisting or rotation can lead to misleading results.
- PennHIP X-rays: In PennHIP evaluations, the dog is positioned in a slightly different manner. The key is to create a distraction between the femoral head and the acetabulum to measure hip joint laxity. Proper positioning ensures accurate measurements of this distraction. If the positioning is not precise, the distraction index (DI) could be either falsely high (suggesting a more severe risk for dysplasia) or falsely low (underestimating risk).
- Nutrition and Weight
Nutrition plays a pivotal role in joint health, particularly during a dog’s growth phase.
- Calcium and phosphorus levels: The balance between calcium and phosphorus in a dog’s diet is important for healthy bone development. Too much calcium can lead to improper bone mineralization, while too little can weaken bones, both of which may increase the risk of joint instability.
- Obesity: Excessive weight can exacerbate hip dysplasia by placing undue stress on the joints. Dogs that are overweight tend to experience more joint wear and tear, leading to arthritis and worsening of hip dysplasia over time.
- Dietary supplements: Some breeders or owners use joint supplements like glucosamine and chondroitin to promote joint health, although the effectiveness of these supplements is debated. These can support cartilage health, but they do not necessarily prevent hip dysplasia if the dog is genetically predisposed.
- Age at the Time of Evaluation
The age at which a dog is evaluated can significantly affect the rating.
- OFA: The OFA requires Standard Poodles to be at least 2 years old for final hip certification, although they do offer preliminary evaluations for younger dogs. This age requirement exists because a dog’s hip joints may not fully develop until maturity, and subtle joint incongruities might not become apparent until growth is complete. While a 2-year-old dog with a “Fair” rating may show improvement as it continues to mature, a dog diagnosed as “dysplastic” is unlikely to see a change in its condition over time.
- PennHIP: PennHIP evaluations can be done as early as 16 weeks, which is useful for early detection of potential joint instability. However, the full extent of joint conformation may not be clear until the dog matures.
- Injury or Trauma
Injury or trauma to the hip joint can significantly impact its conformation, stability, and long-term function, potentially leading to secondary hip dysplasia or degenerative joint disease (DJD) if not properly addressed. This risk is heightened if the injury occurs during critical growth and developmental stages when bones, cartilage, and ligaments are still forming and stabilizing.
Potential injury-related factors affecting hip scores include:
- Hip Dislocation (Luxation): A dislocated hip joint can cause lasting damage to the ligaments, cartilage, and surrounding structures, resulting in joint laxity or improper healing.
- Fractures Involving the Hip Joint: Fractures affecting the femoral head, neck, or acetabulum may lead to abnormal joint structure, poor articulation, and subsequent arthritis.
- Growth Plate Injuries: In puppies, trauma to the growth plates around the hip joint can disrupt normal bone growth and alignment, resulting in an improperly formed joint.
- Soft Tissue Damage: Tears or strains to the joint capsule, ligaments, or muscles surrounding the hip can reduce joint stability and contribute to poor alignment and increased laxity.
- Repetitive Microtrauma: Activities that involve excessive or repetitive stress on developing hip joints (e.g., high-impact jumping, rough play on slippery surfaces) may contribute to subtle injuries that accumulate over time and affect joint integrity.
- Improper Healing After Injury: Inadequate rest, poor rehabilitation, or failure to address the initial injury properly can result in chronic instability, scar tissue formation, and ongoing inflammation.
Impact on Hip Scores:
- Mild trauma might not result in visible damage on radiographs but could contribute to subtle changes affecting OFA or PennHIP evaluations.
- Significant trauma or poorly healed injuries often present as arthritic changes, remodeling of the acetabulum or femoral head, or increased laxity, all of which negatively impact final hip scores.
Prevention and Management:
- Provide age-appropriate exercise to avoid overexertion during growth phases.
- Avoid repetitive high-impact activities on hard or slippery surfaces.
- Prompt veterinary attention for any signs of injury, pain, or lameness.
- Follow proper rehabilitation protocols after an injury to ensure optimal healing and joint stability.
- Environmental Factors
The dog’s living conditions can play a role in the development of hip dysplasia.
- Living environment: Dogs raised in environments where they are prone to slipping or falling on hard surfaces may have a higher risk of joint injury, which can lead to or worsen hip dysplasia. Similarly, excessive confinement in small spaces without proper exercise can contribute to the development of weak muscles, which can affect joint stability.
Several factors influence a dog’s hip rating, and these factors must be considered in combination for an accurate understanding of a dog’s hip health. Genetics, hormonal influences, early exercise, nutrition, proper radiograph positioning, and age at the time of evaluation all play a role in determining a dog’s rating. Understanding and managing these variables can help breeders make informed decisions to reduce the risk of hip dysplasia and ensure the long-term health of their dogs.
Using OFA and PennHip for Comprehensive Evaluation
Performing both OFA (Orthopedic Foundation for Animals) and PennHIP evaluations provides breeders with valuable, complementary insights into a dog’s hip health. While both methods assess hip joint conformation, they do so using different measurements and techniques, offering breeders a more comprehensive understanding of the dog’s hip status. Here’s how each evaluation method provides value and how they complement each other:
- OFA Evaluation
- The OFA has been in use for over 50 years and is the gold standard for hip evaluations in dogs. The system is trusted by breeders, veterinarians, and kennel clubs worldwide. Many breed registries, including those in the AKC and UKC, rely on OFA certification for health screening.
- Method: OFA hip evaluations rely on radiographs (X-rays) taken in a standardized position (extended hips, with the dog under sedation or anesthesia). These X-rays are evaluated by a panel of veterinary radiologists who assign a grade based on the degree of hip joint conformation.
- Result: The result is a grade (Excellent, Good, Fair, Borderline, or Dysplastic) that reflects the dog’s hip joint structure, looking for signs of dysplasia (malformation) or joint laxity (looseness).
- Value for Breeders:
- Standardized Assessment: OFA grading provides a consistent, widely recognized standard that breeders and veterinarians trust. While there is some subjectivity in the evaluation process (as with any radiographic interpretation), OFA’s use of multiple certified radiologists to review the X-rays adds a layer of consistency. The OFA requires three separate reviews for each radiograph, which helps minimize individual biases.
- Predictive Value: Although it doesn’t directly measure hip joint laxity, OFA grading correlates well with the risk of developing arthritis or other hip-related issues later in life. It’s valuable for assessing structural integrity of the hips.
- CHIC Certification: Many breed clubs, including the Poodle Club of America, require OFA certification for Canine Health Information Center (CHIC) certification. This demonstrates a commitment to health and responsible breeding.
- PennHIP Evaluation
- Method: PennHIP measures hip joint laxity (the degree of looseness of the ball-and-socket joint) using two X-rays taken in different positions: one that measures the hip joint in the relaxed state (distraction) and another that measures the joint under compression.
- Result: PennHIP provides a distraction index (DI) score, which quantifies the degree of joint laxity. A lower DI indicates a tighter joint with less laxity, while a higher DI suggests a more unstable hip joint.
- Value for Breeders:
- Direct Measure of Laxity: PennHIP directly evaluates joint laxity rather than just conformation. This is crucial because hip joint laxity is one of the primary contributors to hip dysplasia and the development of arthritis.
- Objective Measurement: The distraction index offers an objective, quantifiable value of hip health, allowing breeders to make informed decisions based on the degree of laxity present.
- Early Evaluation: PennHIP can be done as early as 16 weeks, which allows breeders to evaluate hip health in puppies and make decisions on which dogs to use for breeding before they reach full maturity. This is a valuable tool for early intervention and selection.
- Complementary Value for Breeders
- Comprehensive Assessment: By using both OFA and PennHIP evaluations, breeders gain a fuller picture of a dog’s hip health. OFA grades assess the morphological structure, while PennHIP evaluates laxity, giving breeders a more comprehensive understanding of a dog’s risk for developing hip dysplasia or arthritis.
- Better Breeding Decisions: Since hip dysplasia is influenced by both genetics (hip structure) and environmental factors (such as joint laxity), using both evaluation methods allows breeders to make more informed decisions. For instance, a dog with excellent OFA hip grades but a high PennHIP distraction index might be at risk of developing joint problems later in life, even if their conformation appears ideal.
- Risk Mitigation: The combination of OFA and PennHIP data can help reduce the risk of passing on hip dysplasia by carefully selecting mates based on both the structural conformation (OFA) and the laxity of the joints (PennHIP). This balanced approach allows breeders to select dogs with the best combination of joint health, reducing the incidence of hip dysplasia in future generations.
- Breed-Specific Insights: Some breeds, such as Standard Poodles, are particularly prone to hip dysplasia, making the combined use of both OFA and PennHIP evaluations even more critical for ensuring long-term hip health and maintaining the breed’s overall health.
- Comparison of the Two Methods
- OFA:
- Focuses on the structural appearance of the hips.
- More widely recognized and commonly used in breed clubs for health certification.
- Best used to assess mature dogs (usually over 2 years old).
- PennHIP:
- Focuses on the laxity of the hip joint, which is a key factor in the development of hip dysplasia.
- Can be done at a younger age (from 16 weeks), allowing for early selection.
- Provides an objective, quantifiable distraction index score.
For breeders, using both OFA and PennHIP evaluations allows for a more comprehensive approach to managing hip health. OFA gives a clear picture of the structural integrity of the hip joint, while PennHIP provides valuable data on joint laxity, an important predictor of future hip dysplasia risk. By combining the two, breeders can make better-informed breeding decisions that reduce the risk of hip dysplasia and improve the long-term health of the breed.
References
- American College of Veterinary Surgeons (ACVS)
- Website: https://www.acvs.org
- The ACVS provides numerous resources and publications on orthopedic conditions, including hip dysplasia. Their studies often explore the genetic and environmental factors contributing to hip dysplasia, and the role of surgical and non-surgical treatments.
- American Journal of Veterinary Research
- Study: This paper provides heritability estimates for hip dysplasia in various breeds, including Standard Poodles, and highlights how selective breeding practices focusing on hip health can improve the condition over generations.
- Zhang, Zhiwu, Lan Zhu, Jody Sandler, Steven S. Friedenberg, Jill Egelhoff, Alma J. Williams, Nathan L. Dykes, William Hornbuckle, Ursula Krotscheck, N. Sydney Moise, George Lust, and Rory J. Todhunter. “Estimation of Heritabilities, Genetic Correlations, and Breeding Values of Four Traits That Collectively Define Hip Dysplasia in Dogs.” American Journal of Veterinary Research 70, no. 4 (2009): 483–92. https://doi.org/10.2460/ajvr.70.4.483.
- Canine Kinetics
“Canine Hip Dysplasia: Understanding the Risk Factors.” Accessed June 2024. https://www.caninekinetics.com.au/blog/canine-hip-dysplasia-understanding-the-risk-factors.
- Journal of the American Veterinary Medical Association (JAVMA)
- Website: https://www.avma.org
- JAVMA provides access to numerous veterinary research articles, including studies on hip dysplasia and its genetic aspects. Searching for “hip dysplasia” and “genetic factors” within their archives to view many relevant results.
- Research Article: “Canine Hip Dysplasia: Epidemiology, Genetics, and the Role of the Environment” (JAVMA, 2020).
- This study reviews the factors that influence the development of hip dysplasia, including genetic predisposition, environmental factors (such as weight and exercise), and the impact of early life conditions.
- Orthopedic Foundation for Animals (OFA)
- Website: https://www.ofa.org
- The OFA has a wealth of resources on hip dysplasia, including its genetic components, and the role of health and environment in its development. They provide a registry for hip evaluations and are a primary source for research on heritability and genetic links to hip dysplasia.
- Research Articles:
- OFA has publications and resources discussing hip dysplasia’s genetic basis. Specific studies are often available through their site or through links to scientific journals that OFA collaborates with.
- Orthopedic Foundation for Animals (OFA). “Hip Dysplasia in Dogs.” Accessed June 2024. https://ofa.org/diseases/hip-dysplasia/.
- PennHip (Veterinary Hip Improvement Program)
- Website: https://www.pennhip.org
- PennHIP offers detailed research on hip dysplasia, particularly focusing on hip joint laxity, which is central to the development of the condition. Their studies and methods highlight the genetic factors in hip dysplasia and the importance of selective breeding in reducing its occurrence.
- PubMed (National Library of Medicine)
- Website: https://pubmed.ncbi.nlm.nih.gov
- PubMed hosts a variety of scientific research articles on hip dysplasia, many of which focus on its genetic basis. Searching for terms like “genetic basis of hip dysplasia in dogs” or “hip dysplasia hereditary studies” will provide a list of peer-reviewed studies.
- The Kennel Club (UK)
- Website: https://www.thekennelclub.org.uk
- The Kennel Club provides resources on the genetic predisposition of breeds to hip dysplasia and the importance of health testing. They reference studies on the heritability of the condition and the role of hip certification in breeding programs.
- Veterinary Partner
“Canine Hip Dysplasia: Understanding the Risk Factors.” Accessed June 2024. https://veterinarypartner.vin.com/default.aspx?pid=19239&catid=102896&id=8212735.
- VCA Animal Hospitals
“Hip Dysplasia in Dogs.” Accessed June 2024. https://vcahospitals.com/know-your-pet/hip-dysplasia-in-dogs.3.
- Veterinary Orthopedic Society (VOS)
- Website: https://www.vosdvm.org
- VOS provides a range of research publications on orthopedic diseases in dogs, including hip dysplasia. Their work discusses the various factors contributing to hip dysplasia, with a focus on genetics, environment, and health.

Recent Comments